Chủ đề

virus

virus

304 người chết vì dịch virus corona, 14.551 ca nhiễm

Số người chết vì dịch virus corona ở Trung Quốc tăng thêm 45 trường hợp nâng tổng số ca tử vong lên 304. Tổng số ca nhiễm trên thế giới lúc này là 14.551 trường hợp.

Bộ Y tế công bố thêm đường dây nóng 1900 9095 tư vấn phòng, chống dịch nCoV

Từ 7 giờ sáng nay, ngày 2/2/2020, Bộ Y tế sẽ có thêm một đường dây nóng để tư vấn người dân các biện pháp phòng, chống dịch nCoV. Các cuộc gọi đến đường dây này đều miễn phí.

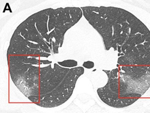
Chụp X-quang phổi cho bệnh nhân 33 tuổi nhiễm virus corona, bác sĩ rùng mình phát hiện hình ảnh tương đồng dịch bệnh trong quá khứ

Nếu không biết về đợt bùng phát này, bạn sẽ đọc bản quét và cho rằng bệnh nhân này bị viêm phổi vì đây là chứng bệnh phổ biến nhất mà chúng ta có thể trông thấy bằng hình ảnh "tổn thương kính mờ".

Trung Quốc 'đau đầu' nuôi 50 triệu dân bị phong thành vì virus corona

Vũ Hán và hàng loạt thành phố tại tỉnh Hồ Bắc trong vùng dịch corona, với tổng dân số lên hơn 50 triệu người, đang chịu lệnh phong tỏa kéo theo thách thức không nhỏ về hậu cần.

3 người Pháp, 1 người Việt nghi nhiễm virus corona đang cách ly tại TP.HCM

3 bệnh nhân trong một gia đình và một trường hợp khác trở về từ Vũ Hán (Trung Quốc) có các triệu chứng nghi nhiễm virus corona (nCoV) đang được cách ly tại các ở BV ở TP.HCM.

Nhà dịch tễ học nổi tiếng Trung Quốc tìm ra phương pháp "4 chiến đấu - 2 cân bằng", điều trị hiệu quả cho bệnh nhân nguy kịch vì coronavirus

Những biện pháp hiệu quả để điều trị cho bệnh nhân nhiễm corona trong tình trạng nguy kịch được mang tên "bốn chiến đấu và hai cân bằng"

Trường hợp thứ 2 nhiễm nCoV được điều trị ở Bệnh viện Chợ Rẫy đã có kết quả xét nghiệm âm tính lần 1

Bệnh viện Chợ Rẫy cho biết, trường hợp bệnh nhân Li Ding, 66 tuổi, đến từ Vũ Hán, nhiễm virus Corona. Kết quả xét nghiệm ngày 30/1 âm tính lần 1 với nCoV.

NÓNG: Nữ lễ tân ở Khánh Hòa là ca lây nhiễm virus corona Vũ Hán đầu tiên

Kết quả xét nghiệm lần 2 cho thấy nữ nhân viên lễ tân người Việt Nam đã nhiễm virus corona chủng mới hay còn gọi là virus corona Vũ Hán sau khi tiếp xúc với ông Li Ding.

Đeo khẩu trang phòng tránh virus corona: Chuyên gia tiết lộ thêm chi tiết nhỏ nhưng ai cũng phải kinh ngạc vì mình làm chưa đúng

Việc đeo khẩu trang đúng cách để phòng tránh virus corona hiện nay được nhiều người quan tâm.

Virus corona tại Vũ Hán: 20 bệnh nhân nhiễm virus đã được phép xuất viện cùng lúc, hơn 1.300 trường hợp nhiễm bệnh bệnh mới, 259 người đã chết

Ngày 31/1, Trung Quốc đã phát hành đoạn phim của 20 bệnh nhân vui vẻ khi họ được xuất viện sau khi hồi phục hoàn toàn để thể hiện những nỗ lực của mình trong việc đối phó với dịch virus corona mới.

Cảnh chống dịch virus corona ở biên giới Việt Nam - Trung Quốc

Tại cửa khẩu Móng Cái (Quảng Ninh) và Hà Nội, người dân chuẩn bị khẩu trang và nhiều biện pháp phòng bệnh. Trong khi đó tại TP.HCM, số lượng người đeo khẩu trang ra đường còn ít.

Xác nhận 2 trường hợp nhiễm virus corona mới ở Anh, dịch bệnh đã gây ảnh hưởng đến nhiều nước trên toàn cầu

Hai bệnh nhân nhiễm virus corona là người thân trong một gia đình và đang được điều trị tại bệnh viện ở Newcastle, Anh.

Virus Corona: Phát minh thành công dụng cụ test virus corona cho kết quả ngay trong vòng 30 phút!

Mới đây, Trung Quốc công bố đã chế tạo thành công dụng cụ thử nghiệm có khả năng phát hiện virus corona chỉ vỏn vẹn sau 30 phút.

Đã tiêm phòng cúm thì có mắc virus corona nữa không, đối tượng nào dễ nhiễm và tử vong vì nó? Chuyên gia đã có câu trả lời cho bạn!

Mới đây các chuyên gia hàng đầu về y tế dự phòng của Trung tâm tiêm chủng Trẻ em và Người lớn (VNVC) đã giải đáp nhiều thông tin quan trọng xoay quanh vấn đề dịch bệnh.

Không phải “điên cuồng” lùng mua nước rửa tay khô vì đại dịch virus Corona bùng phát, chỉ cần rửa tay bằng dung dịch chứa thành phần này là chuẩn nhất rồi!

Không chỉ có khẩu trang y tế mà hiện nay những loại dung dịch nước rửa tay khô để phòng ngừa bệnh viêm phổi do virus corona gây ra cũng đang trong tình trạng "cháy hàng", loạn giá.

Không cứu sống được bệnh nhân nhiễm virus corona, 2 bác sĩ Vũ Hán bị đánh đập và xé áo bảo hộ cùng tâm sự nhói lòng của một nữ y tá

Là những người ở đầu chiến tuyến, hàng ngày đối mặt với tử thần nhưng các y, bác sĩ ở tâm dịch Vũ Hán lại gặp phải nhiều tình huống oái oăm.

Bộ Y tế họp khẩn cấp thông tin về phòng, chống dịch nCoV: Người dân có thể sử dụng khẩu trang bằng vải và giặt hằng ngày

Vào lúc 15h, ngày 31/1, Bộ Y tế đã có cuộc họp mở rộng thông tin về phòng, chống dịch nCoV, với sự tham gia của các chuyên gia y tế và các cơ quan báo chí.

WHO hướng dẫn cách phòng tránh virus corona mới: Chú ý cả trong nấu ăn, đi chợ

Trước tình hình dịch viêm phổi Vũ Hán đang căng thẳng tại TQ, Tổ chức Y tế Thế giới đã đưa ra danh sách những khuyến cáo cách bảo vệ bản thân và gia đình.

Clip bà mẹ y tá tạm biệt con gái nhỏ 4 tuổi lên đường đến ổ dịch corona Vũ Hán, xem xong ai cũng nghẹn ngào

Cô bé 4 tuổi cứ ôm chặt lấy mẹ không muốn rời xa trong khi người mẹ đã đến giờ phải lên đường đến Vũ Hán thực hiện nhiệm vụ.